Resilient ‘Rocky’ Survives Hit-and-Run with Lifesaving Collaborative Care
Just after dinner on Christmas Day 2023, Rocky, a 2-year-old Chihuahua, went for a walk with his family in his Brooklyn neighborhood. As they crossed the street, a passing car hit Rocky’s hind end before speeding away.
“We were distraught and heartbroken,” says Wendy L., whose husband, Cesar, was walking Rocky. “He’s part of the family.”
Cesar carried Rocky home and Wendy began searching for an emergency veterinarian who might be open on a holiday. She finally located one in New Jersey.
At the vet, X-rays revealed fractures on the right side of Rocky’s pelvic bone. The veterinarian prescribed pain medication and cage rest.
“They told us he wouldn’t survive and even suggested putting him to sleep,” says Wendy. “We couldn’t stand to see him suffer. It was very sad.”
Wendy’s family, including two children, didn’t want to say goodbye to Rocky. Instead, crestfallen, they drove Rocky home.
Another Option
The following day, Wendy canvassed her neighborhood asking if anyone might have a video of the hit-and-run incident. One neighbor suggested Wendy visit the ASPCA Community Veterinary Clinic (CVC), where she had previously taken one of her pets.
Dr. Isha Pandya, a veterinarian at the CVC, recalls Rocky’s initial visit.
“Wendy brought Rocky to us in a little basket with a blanket,” says Dr. Pandya. “He was in pain and didn't want to move, and he was urinary incontinent. We carefully cleaned his basket and made him comfortable.”
Wendy explained Rocky’s visit to the emergency vet and the diagnosed fractures.
“For most pelvic fractures, especially with small dogs, pain medication and cage rest can work,” says Dr. Pandya. “But when I looked at his radiographs, I was concerned there may be damage to his caudal spinal cord — the tail end — as well, which may have explained the urinary incontinence.
“Since it had been several days since the accident and he was not improving, I decided it was time to pursue surgery for Rocky.”
Fiscal Relief
Dr. Pandya referred Rocky to the Veterinary Emergency and Referral Group (VERG), an ASPCA partner clinic, so Rocky could be seen as soon as possible. Rocky’s veterinary services would be paid for by the One ASPCA Fund (OAF), a program designed to keep pets with their families by reducing or eliminating the cost of certain medical treatments.
“Our One ASPCA Fund focuses on medical conditions that have a good prognosis and require fairly short-term care,” says Amanda Rodriguez, the ASPCA’s Senior Director of Client and Member Support. “Clients qualify if they’re referred by the ASPCA’s Community Engagement or Community Medicine teams — as was the case with Rocky — or the NYPD or social services agencies.”
A Collaborative Effort
On New Year’s Day, Rocky was checked in at VERG, where he underwent a three-hour surgery to repair his fractures.
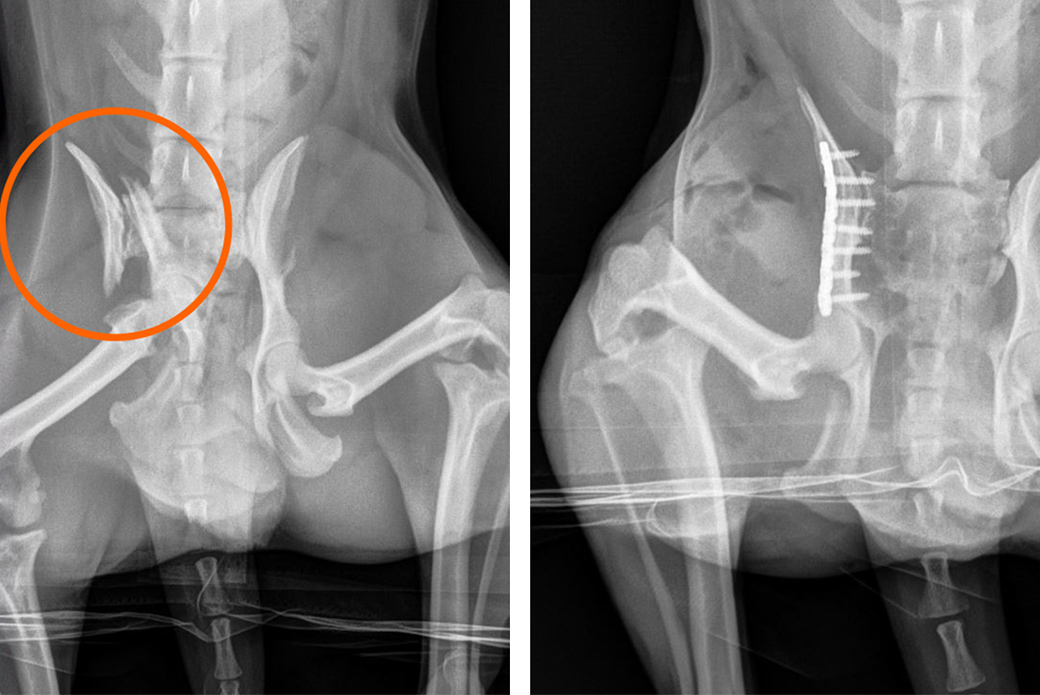
“Rocky had a high-impact pelvic fracture that caused his pelvis to break in five places,” says Dr. Matthew Morgan, VERG Chief of Surgery who performed Rocky’s surgery. “The injuries were severe due to the orthopedic and soft tissue trauma that occurred around his pelvis, causing it to essentially shatter. Many patients with this type of high-impact injury do not survive the initial impact long enough to be brought to a vet. Rocky was an exception and a very tough dog.”
Dr. Morgan placed a titanium bone plate with screws along the right side of Rocky’s pelvis to reconstruct the bones so that they would be able to bear weight.
“Rocky has a huge will to survive,” Dr. Morgan adds. “His toughness got him through surgery and on to recovery, and he was discharged from VERG two days later.”
A Visit to the ASPCA
After six weeks, Rocky and Wendy visited the ASPCA Animal Hospital (AAH) for a consultation with Dr. J’mai Gayle, Director of Surgery. Dr. Gayle noted that Rocky’s fractures had healed, but that he has some nerve damage which manifests as a somewhat uncoordinated way of walking, and he occasionally appears to do the splits with his hindlimbs.
“This may improve with time but is most likely going to remain a permanent deficit,” says Dr. Gayle, who advised that Rocky would do best on surfaces with good traction, like carpet, and to avoid slippery flooring and surfaces when possible.
“He walks well but with a slightly altered gait,” says Dr. Daniela Gilbert, Staff Veterinary Manager at AAH who saw Rocky when Wendy brought him back to be neutered.
“The important thing was the surgery and recovery,” says Wendy. “It’s a relief to know he will be OK. At one point, we thought he’d never walk again. Now he runs, walks, eats well and is back to all his normal activities like before the accident.”
Dr. Lori Bierbrier, Senior Medical Director, Eastern Region, of the Community Veterinary Clinics, is pleased with Rocky’s outcome.
“His prognosis is good, thanks to the collaboration among our CVC and AAH teams, and the staff at VERG,” Dr. Bierbrier says. “Rocky’s family sought out his initial care on their own, which was also instrumental in his recovery.”
Wendy and her family, which now includes a Shih Tzu mix named Oreo, couldn’t be happier.
“He means the world to us,” she says. “We know without your help he wouldn’t be here today. We’re so grateful.”
